As dental professionals, patients often ask us about the mysterious world of dental X-rays. Those futuristic-looking images might seem daunting, but they’re an essential tool in keeping your smile healthy and bright. In this article, we’ll explore the four main types of dental X-rays and how they help us provide you with the best possible care. So, let’s dive in and demystify these important diagnostic tools!
The Role of X-Rays in Modern Dentistry
Before we get into the specifics, let’s discuss why X-rays are crucial in dentistry. They provide a comprehensive view of what’s happening below the surface of your teeth and gums and reveal things that would go undetected during a visual exam. This insight is invaluable for diagnosing issues early, planning treatments effectively, and even preventing problems before they start.
X-rays help us detect cavities hiding between teeth, evaluate the health of your tooth roots, check on the progress of developing teeth, and so much more. They’re integral to routine check-ups and more specialized dental procedures. Now, let’s explore the four types of X-rays we use to keep your teeth in tip-top shape.

1. Bitewing X-Rays
Bitewing X-rays are like the friendly neighborhood watch of the dental world. They keep an eye on your back teeth, which are often the first place cavities like to hide. When we take bitewing X-rays, we’ll ask you to bite down on a special piece of film. This allows us to see how your upper and lower teeth line up and determine if any sneaky cavities are lurking between them.
We typically take bitewing X-rays during regular check-ups. They’re excellent for catching decay early, which means simpler, less invasive treatments for you. Plus, they help us monitor changes in your bone density, which can indicate gum disease.
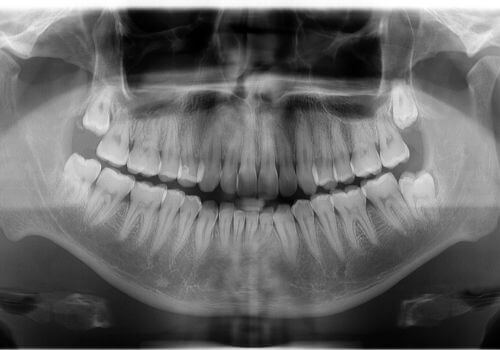
2. Panoramic X-Rays
Imagine taking a 360-degree photo of your mouth — that’s essentially what a panoramic X-ray does. This type of X-ray captures your entire mouth, including all your teeth, both upper and lower jaws, and the surrounding structures, in a single image.
When having a panoramic X-ray done, you’ll stand still while a machine rotates around your head. It might sound high-tech (and it is!), but it’s quick, easy, and completely painless. These X-rays are incredibly useful for planning treatments like dentures, braces, or implants. They also help us spot impacted wisdom teeth, jaw disorders, and even some types of tumors.
3. Periapical X-Rays
These X-rays show us the entire tooth, from the crown (the part you see when you smile) all the way down to the root tip and the surrounding bone. This comprehensive view lets us examine every part of your tooth and its supporting structures in detail.
Periapical X-rays are incredibly useful when you’re experiencing pain in a specific tooth and are particularly adept at helping us identify more serious issues. Abscesses, which are pockets of infection at the root tip, appear as dark spots on the X-ray. Cysts, fluid-filled sacs that sometimes develop in the jaw, appear as well-defined dark areas. Bone loss, often a sign of advanced gum disease, is visible as a reduction in the bright, dense area around the tooth roots. We also use them to monitor root canal treatment progress and ensure dental implants integrate well with your jawbone.
4. Occlusal X-Rays
Occlusal X-rays capture a broad view of an entire arch of teeth in your lower or upper jaw. To take these, we’ll ask you to close your teeth together on a special film, which is larger than those used for other X-rays. The resulting image provides a unique bird’s-eye view of your dental arch, showing us the full expanse from a top-down or bottom-up perspective. This wide-angle view is particularly valuable for assessing the overall layout of your teeth and how they fit together.
These X-rays help track the development and placement of children’s teeth, allowing us to monitor emerging teeth and spot potential issues early. They’re also invaluable for identifying abnormalities in patients of all ages, such as extra teeth, jaw fractures, or objects stuck in unusual places. Occlusal X-rays can reveal oral cysts or tumors in their early stages, too. Essentially, they complement other X-ray types by providing a comprehensive view of your oral structures, helping us ensure complete care for your smile.

Ensuring Patient Safety and Comfort
Many patients are concerned about radiation during X-rays. Rest assured, however, that your safety is our top priority. Modern dental X-ray machines use very low doses of radiation, and we always use protective equipment like lead aprons to minimize exposure.
In addition, digital X-ray technology has significantly reduced radiation exposure compared to traditional film X-rays. We also follow strict guidelines on how often X-rays should be taken, tailoring the frequency to each patient’s individual needs and risk factors.
The Future of Dental Imaging
As technology continues to advance, so does dental imaging. We’re excited about emerging technologies that promise even more detailed images with less radiation exposure. These advancements will allow us to diagnose issues earlier and plan treatments more precisely, leading to better outcomes for you, our valued patients.
Conclusion
From bitewings to panoramic X-rays, each type of dental X-ray plays a crucial role in maintaining your oral health. They allow us to catch problems early, plan treatments effectively, and ensure that your smile stays healthy and bright for years.
Regular dental check-ups, including X-rays, prevent dental problems and maintain good oral health. Next time you’re in the dental chair and we suggest an X-ray, you’ll know exactly what we’re talking about — and why it’s so important!
We hope this overview has helped demystify dental X-rays. If you have any questions about X-rays or any other aspect of your dental care, don’t hesitate to contact us. After all, we’re here to help you achieve and maintain your best possible smile!