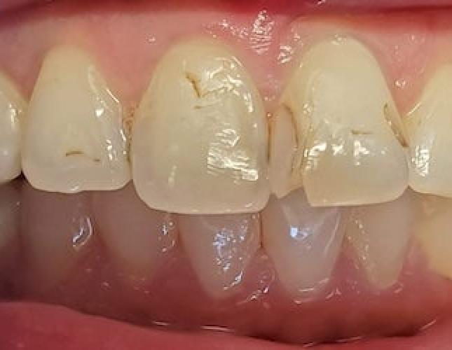
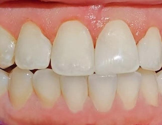
Brittany came to us with previous fillings breaking down, leading to visible staining and cracks. She was unhappy with how she felt about her smile and wanted a change. With some simple bonding, Brittany walked out with a beautiful smile that she couldn’t help but show off!

