Same-Day Dental Crowns: Discover A Makeover In A Day
What are same-day dental crowns?
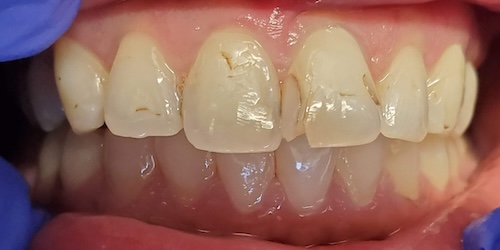
Essentially, a same-day dental crown is the same as a normal crown. A crown is basically a little helmet or covering that goes over the top chewing part of your tooth and helps to protect it and hold it together so it doesn't break apart. With same-day crowns, we can complete the entire process from start to finish in one appointment on the same day.
What are the alternatives to same day crowns?
More of a traditional crown appointment usually involves two visits. Typically, during the first appointment, the dentist prepares the tooth for the crown, takes an impression or scan of the tooth, and makes a temporary crown to place on the tooth. Then, the scan or impression is sent to the lab where your crown is made, and about two weeks later, you return for a second appointment to have the permanent crown placed on the tooth.
What type of dental crowns are there?
There are a few different materials from which crowns can be made. An older or traditional crown can be made from gold. You can also have a crown made from porcelain and metal.
With our same-day crowns, we use porcelain. We have two options: a porcelain material, which usually provides a higher level of aesthetics and looks more like a natural tooth, or a zirconia crown, which is a stronger material suitable for back teeth for people with a heavy bite, where the crown is more prone to breaking.
Is a crown necessary after a root canal treatment?
When it comes to root canals, the procedure makes the tooth quite brittle and more prone to breaking. After a root canal on a back tooth, such as a premolar or molar, it is always recommended to place a crown on the tooth. These teeth handle the majority of our chewing, about 80%, and the heavy forces involved can lead to the tooth breaking. A crown protects the tooth and helps ensure the root canal and tooth last.
For a front tooth, it is not automatic. If the root canal involves a relatively small hole or cavity, it can usually be fixed with a simple filling. However, if the tooth has a large break or cavity requiring a large filling, a crown may be discussed as it is stronger and helps maintain the tooth's longevity.
Can you explain the same-day dental crown procedure?
During the appointment, the patient first receives numbing to ensure no pain is felt. Next, we remove any old fillings, cavities, or issues with the tooth to have a clean tooth to work with. We'll then perform a dental core by filling material inside to fill gaps where the cavity or old filling used to be, providing a good base for the crown.
We prepare the tooth by shaving down the filling and necessary tooth structure to make room for the crown. A 3D scan of the tooth is taken and used to design and make the crown with our software. After a break in the appointment, which usually lasts up to an hour and a half, the crown is milled from a porcelain block and then hardened in a furnace.
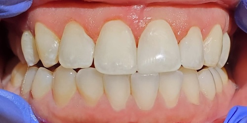
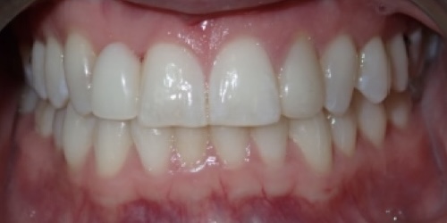
Once finished, the crown is cemented onto the tooth, and the patient can go home with their permanent crown.
Does the same-day dental crown procedure hurt?
Typically, we provide numbing so that no pain is felt during the procedure. There is a little pinch when the needle goes in for numbing, but after that, no pain should be felt. During the procedure, we may reapply numbing to keep the area numb throughout. Post-procedure, the tooth can be a little sensitive, or the gums around the tooth can be sore for a couple of days, but this is usually manageable with Advil or Tylenol.
Are there any consequences for getting a same-day tooth crown?
When compared to a traditional crown, there are no consequences in terms of receiving an inferior product. In my opinion, we often achieve a better product, and it's easier for the patient as they don't have to use a temporary crown. Temporary crowns can break or fall off, requiring additional visits.
The other big benefit of a same-day crown is that the procedure and numbing are completed in one day, avoiding the need for a second visit and additional numbing.
Will my same-day crown look like my normal teeth?
Yes, most of the time, we can match them closely to your natural teeth. Using porcelain or zirconia material allows the crown to have the same shade as the tooth, often matching well with your natural teeth. We aim to match the shade as closely as possible so that your dental crown is not easily visible when talking to someone.




Can you get cavities on same-day crown teeth or in crowns in general?
Unfortunately, the answer is yes. Natural teeth, filled teeth, or crowned teeth can be vulnerable to new cavities. The ratio of getting cavities is similar for same-day crowns and traditional crowns. However, the accuracy of scanning and milling equipment for same-day crowns means the crown tends to fit very well, reducing the risk of cavities underneath.
Nonetheless, maintaining good oral hygiene at home, including brushing twice a day and flossing once a day, is crucial for the longevity of your treatment.
How should I take care of my dental crown?
Maintaining oral hygiene around the tooth is essential. The margin where the crown meets the tooth is the weak point and most susceptible to cavities. Keeping it clean by removing plaque and bacteria is crucial.
- Brush teeth twice a day for two minutes, floss at night before brushing, and come in regularly for cleanings.
- Be careful when eating hard foods, as biting hard on porcelain crowns or any crowns can eventually lead to breaking, necessitating replacement.
How long can I expect a same-day dental crown to last?
Literature suggests crowns last about 10 years on average. The primary reason for crown failure is a new cavity forming around where the crown meets the tooth structure. The better you maintain cleanliness and attend regular cleanings, the longer the crown will last. While 10 years is an average, some crowns last 15-20 years, while others may last less.
Does my insurance cover same-day crowns?
For same-day crowns, billing insurance uses the same codes as regular dental crowns. If your insurance covers major procedures, which include crowns, then yes, you would have coverage for a same-day crown.
How can you schedule an appointment for a same-day crown?
If you're a new patient, call our office, send us an email, or submit a form on our website for an examination. We will examine your tooth, take x-rays, ensure it needs a crown, discuss fees, and book an appointment for you.