Kissy
Before
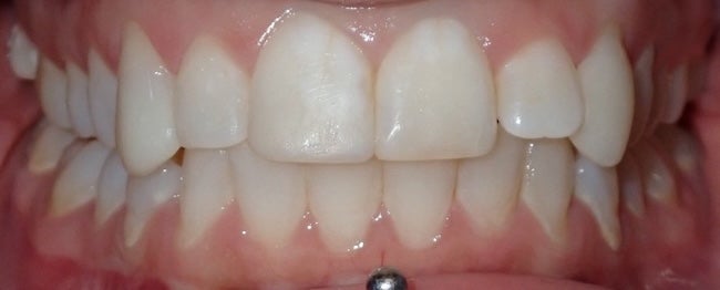
After
“For some people, this might seem small — but for me, it changed everything."
After years of feeling unhappy with the shape of her smile, especially her canines, Kissy came to Renew Dental in search of a change. She wanted longer, more defined canines to enhance her natural look — and finally, she felt heard. Together, we created the smile she had always dreamed of. Since her procedure, Kissy has noticed a huge boost in her confidence — and now, she smiles all the time.
"I'm so much more confident and happier with how I look and smile." - Kissy
Jen
Before
After
I grew up missing my front tooth and always felt very self-conscious about it. I wanted a permanent replacement, and despite not having enough room for an implant, Dr. DiMarco helped me find an alternative solution. I am very happy with the final result, and I finally have my confident, happy smile back!
Brittany
Before
After
Brittany came to us with previous fillings breaking down, leading to visible staining and cracks. She was unhappy with how she felt about her smile and wanted a change. With some simple bonding, Brittany walked out with a beautiful smile that she couldn’t help but show off!
Get a brighter smile today!
Contact us now to schedule your appointment and have the smile you've dreamed about!