“For some people, this might seem small — but for me, it changed everything."
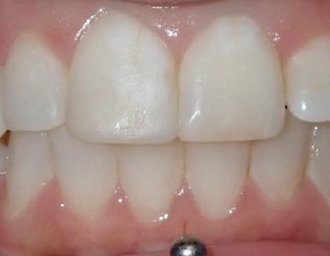
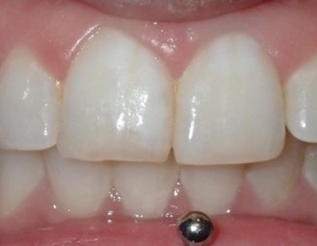
After years of feeling unhappy with the shape of her smile, especially her canines, Kissy came to Renew Dental in search of a change. She wanted longer, more defined canines to enhance her natural look — and finally, she felt heard. Together, we created the smile she had always dreamed of. Since her procedure, Kissy has noticed a huge boost in her confidence — and now, she smiles all the time.
"I'm so much more confident and happier with how I look and smile." - Kissy

