When properly aligned, your teeth work together as a synchronized team. But when they don’t, the consequences affect far more than just your smile. Bite alignment issues, also known as malocclusion, can trigger headaches, jaw pain, tooth wear, and even keep you from getting a good night’s sleep. Many patients live with these issues for years without realizing their bite is the problem.
Bite alignment affects how you chew, speak, and even breathe. When something disrupts proper balance — whether dental work, injury, or natural changes — it drastically impacts your oral health. As dental professionals, we’re here to help you recognize the signs that you might need a bite adjustment. Keep reading to learn more!
Understanding What Throws Your Bite Off Balance
Several factors can disrupt your natural bite alignment. For example, dental restorations sometimes create high spots that prevent your teeth from fitting together properly. Tooth loss shifts remaining teeth out of position, creating gaps and misalignment. Grinding or clenching wears down tooth surfaces unevenly and can change how your upper and lower teeth connect. Plus, jaw injuries from accidents or sports can shift your bite permanently if left untreated.
While beneficial long term, orthodontic treatment can temporarily affect your bite during the adjustment process. Genetics also play a role. Some people inherit jaw shapes or tooth sizes that naturally create bite problems. These issues often worsen over time without professional intervention. Even aging changes the way your teeth fit together as enamel wears and gums recede.
Clear Signs Your Bite Needs Professional Attention
Persistent Jaw Pain and Muscle Tension
Your jaw muscles work overtime when your bite is misaligned, creating tension that radiates through your face, neck, and shoulders. If you wake up with jaw stiffness, you might be grinding or clenching your teeth as you sleep as your body attempts to find a comfortable bite position.
Pain near your ear or difficulty opening your mouth wide indicates temporomandibular joint (TMJ) stress. Connecting your jaw and skull, these joints bear the brunt of bite problems. If they hurt, there’s a good chance that bite alignment issues are to blame.
Frequent Headaches That Medical Tests Can’t Explain
The connection between bite and headaches surprises many patients. Misaligned teeth force jaw muscles to work harder, creating tension that travels to your temples and forehead. Tension headaches caused by bite problems often start when you wake up and intensify throughout the day. Talk to your doctor if you experience frequent headaches. If medical evaluations rule out other causes, your bite might be the culprit.
Sleep Disruptions and Breathing Problems
Poor bite alignment can narrow your airway, affecting sleep quality. Patients often report waking up tired despite getting enough sleep. Snoring may worsen when bite problems force your jaw into positions that restrict airflow.
In addition, your sleeping partner might notice increased grinding or tooth clicking sounds during the night. These noises indicate your jaw muscles are working to find a comfortable position while you sleep.
Digestive Issues from Poor Chewing
Many patients don’t connect digestive problems with dental issues, but the mouth starts the digestive process. When you chew properly, it breaks food into smaller pieces and mixes it with saliva enzymes that begin breaking down starches.
When your bite is off, you can’t break down food properly before swallowing. And incomplete chewing forces your digestive system to work harder, potentially causing stomach discomfort or poor nutrient absorption.
Uneven Tooth Wear and Damage

Examine your teeth in the mirror. Do some appear shorter or more worn than others? Your back teeth should show some wear from chewing, but excessive wear on front teeth often indicates bite problems. Uneven wear patterns suggest bite imbalances that concentrate chewing forces on specific teeth. In addition to causing uneven wear, the pressure can crack or chip teeth over time.
Changes in Speech Patterns
Your teeth help shape sounds when you speak. Bite problems can create slight speech changes, like whistling sounds, lisping, or difficulty pronouncing certain words. These changes often develop gradually, making them easy to overlook. However, professional speakers, teachers, and others who rely on clear communication should pay special attention to any speech changes, no matter how subtle.
What Happens During Professional Bite Adjustment
As dental professionals, we use several techniques to evaluate and correct bite problems. The first step is a thorough examination of how your teeth meet when you bite down. We use special marking papers to identify contact points and pressure distribution across your teeth.
Digital technology helps us precisely assess and measure your bite. Some practices use computerized bite analysis systems that measure the timing and force of your bite closure. This data helps us plan the most effective treatment approach.
The actual adjustment process varies depending on your specific needs. Minor adjustments might involve carefully reshaping small areas of tooth enamel to improve contact points. This type of adjustment is typically painless and completed in a single visit.
More complex bite problems might require orthodontic treatment, dental restorations, or even oral surgery. Your dental team will discuss all options thoroughly and develop a treatment plan that suits your needs, lifestyle, and budget.
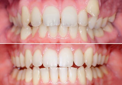
The Life-Changing Benefits of Proper Bite Alignment
Correcting bite problems often brings immediate relief from pain and discomfort. Patients frequently report dramatic improvements in headache frequency and jaw tension within days of treatment. Additionally, sleep quality often improves as airway restrictions decrease and grinding habits diminish.
Your teeth last longer when properly aligned to distribute bite forces evenly across all surfaces. Proper chewing also improves digestion and nutrient absorption, supporting your overall health.
Many patients notice improved confidence as speech clarity returns. Professional and social interactions become more comfortable when you’re not distracted by jaw pain or worried about unclear speech.
When to Schedule Your Bite Evaluation
Don’t wait for severe pain to address bite problems. Early intervention prevents more serious complications and often requires less extensive treatment.

Schedule an appointment if you experience any of the signs above or:
- You’ve had recent dental work that feels “high” or uncomfortable after a few days. Your bite should feel natural and comfortable within 48 hours of most dental procedures unless your dentist tells you otherwise.
- You wake up with jaw soreness more than twice per week.
- You experience changes in sleep quality, especially new or worsening snoring.
Issues related to improper bite alignment often worsen over time, so do not delay seeking treatment.
Don’t live another day in discomfort from an improper bite alignment or let it threaten your oral health. Modern dentistry offers effective solutions for even the most complex bite issues. The sooner you address these problems, the simpler and more affordable treatment becomes.
Schedule an appointment with your dentist today to evaluate your bite and discuss treatment options to restore comfort and protect your smile for years to come. If you have questions and you'd like to reach out to us, you can call us directly at (204) 817-6768, or you can email us at [email protected]. Don't forget to follow us on social media Facebook, Instagram.